ハーフリンガル5
治療概要
- 治療期間
- 2年
- 治療費
- 1,200,000円(税込)
- 性別
- 女性
- 年齢
- 20代
ご相談内容・お悩み
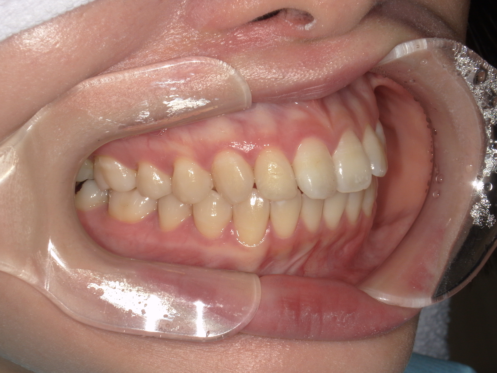
口元の突出感
治療内容
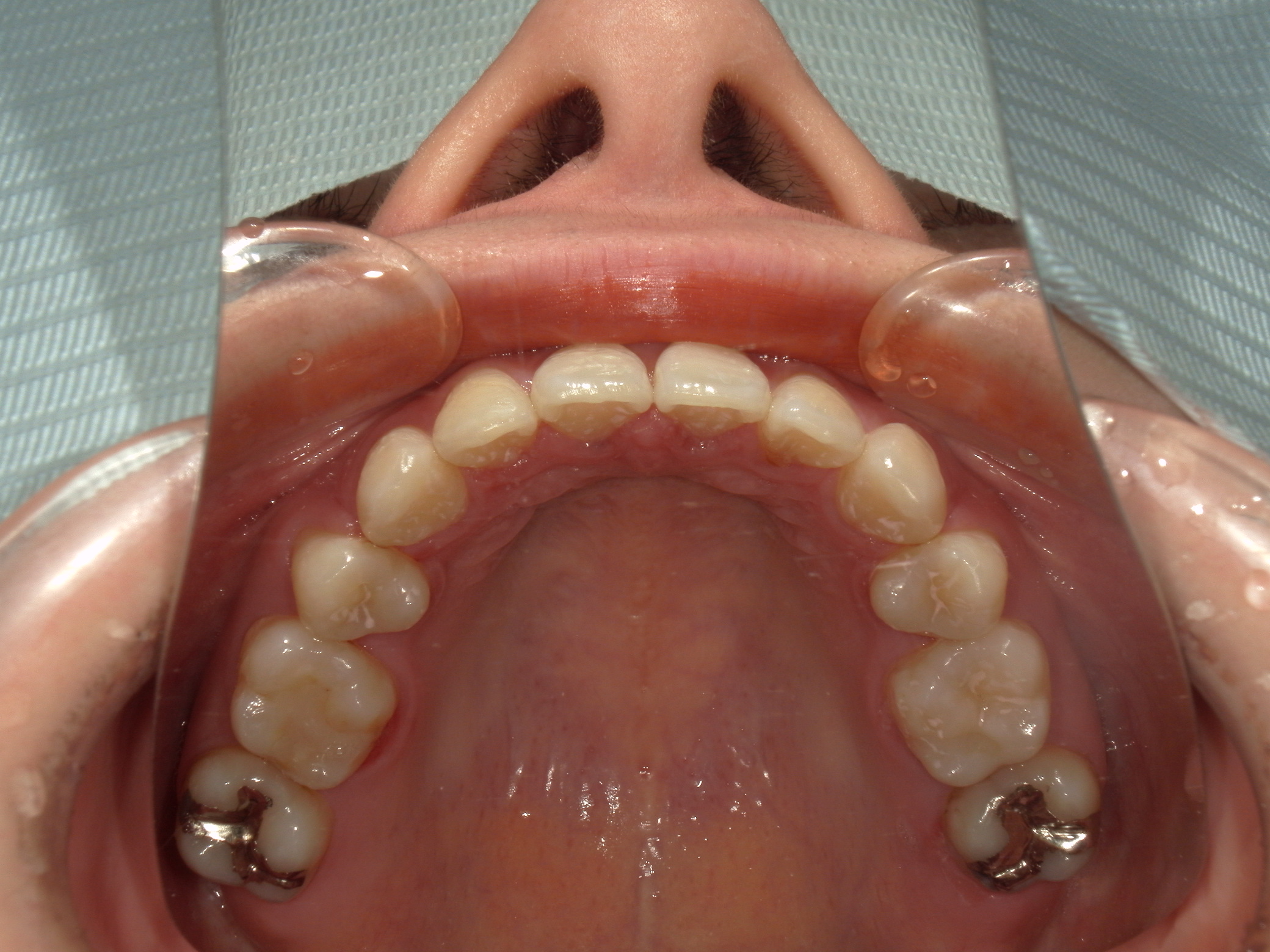
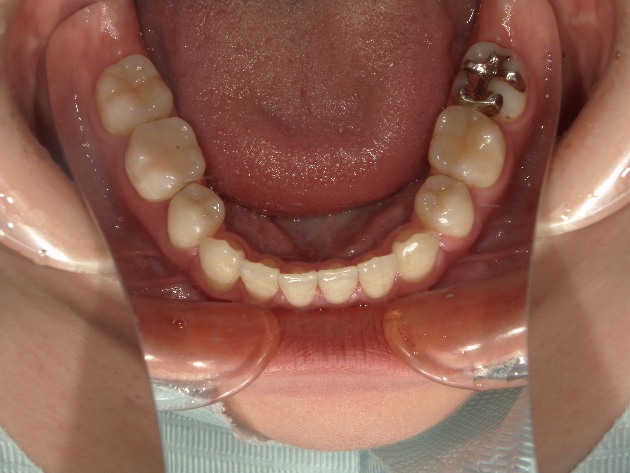
口元の突出を主訴に来院。
上下小臼歯抜歯により突出感を改善する計画を立てた。確立した咬合を崩さないように治療を進める事を目標とした。
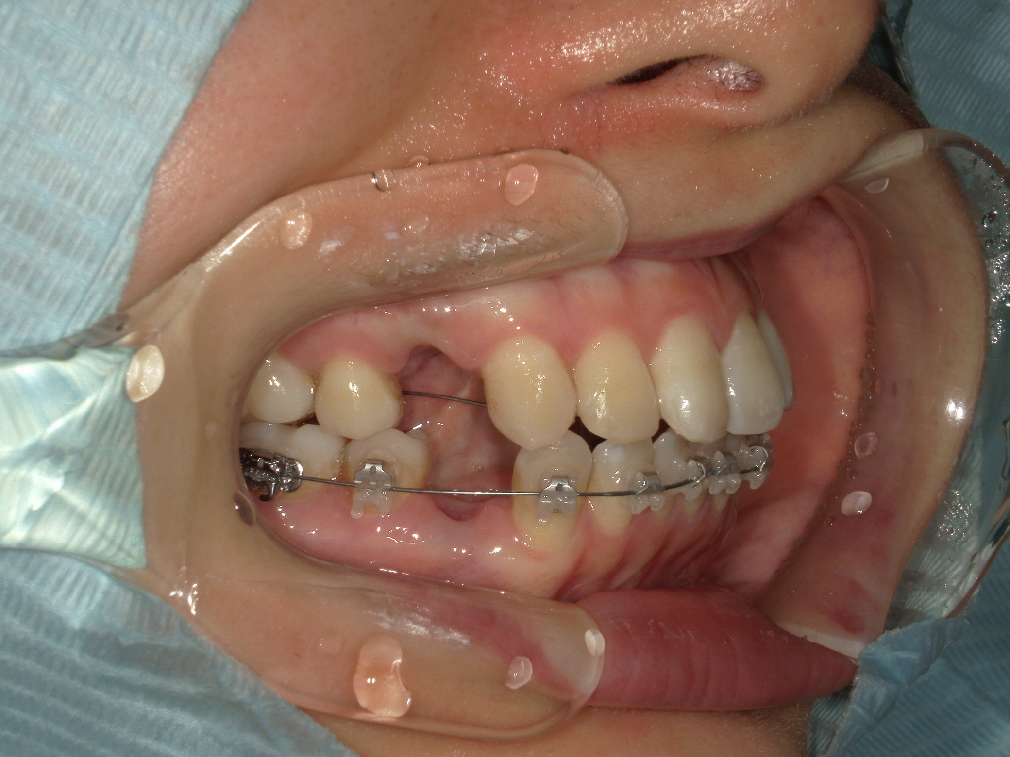
患者はハーフリンガル矯正を希望した。
治療後、口元の突出感の改善、咬合関係は維持することができた。









