トピックス
採用情報
03-3567-5454
当院について
院長インタビュー
矯正治療
矯正治療
Orthodontic treatment
裏側矯正(舌側矯正)
一般矯正(唇側矯正)
マウスピース矯正
加速矯正
フェイシャルプランニング
アンカースクリュー矯正
3Dデジタル診断
治療ガイド
治療ガイド
Guide
大人の矯正治療
ハイティーンの矯正治療
矯正治療の流れ
よくある質問
料金について
医療費控除
クリニック案内
クリニック案内
Information
アクセス・診療時間
院内ツアー
感染症対策
医師・スタッフ紹介
症例紹介
初診専用
Web予約
アクセス
診療時間
当院について
院長インタビュー
矯正治療
裏側矯正(舌側矯正)
一般矯正(唇側矯正)
マウスピース矯正
加速矯正
フェイシャルプランニング
アンカースクリュー矯正
3Dデジタル診断
治療ガイド
大人の矯正治療
ハイティーンの矯正治療
矯正治療の流れ
よくある質問
料金について
医療費控除
医療機関向け
プチラミ発注のご案内
院内ツアー
感染症対策
医師・スタッフ紹介
症例紹介
トピックス
採用情報
電話でのお問い合わせ
アクセス・診療時間
初診専用Web予約
お問い合わせフォーム
プライバシーポリシー
症例紹介
Case Studies
TOP
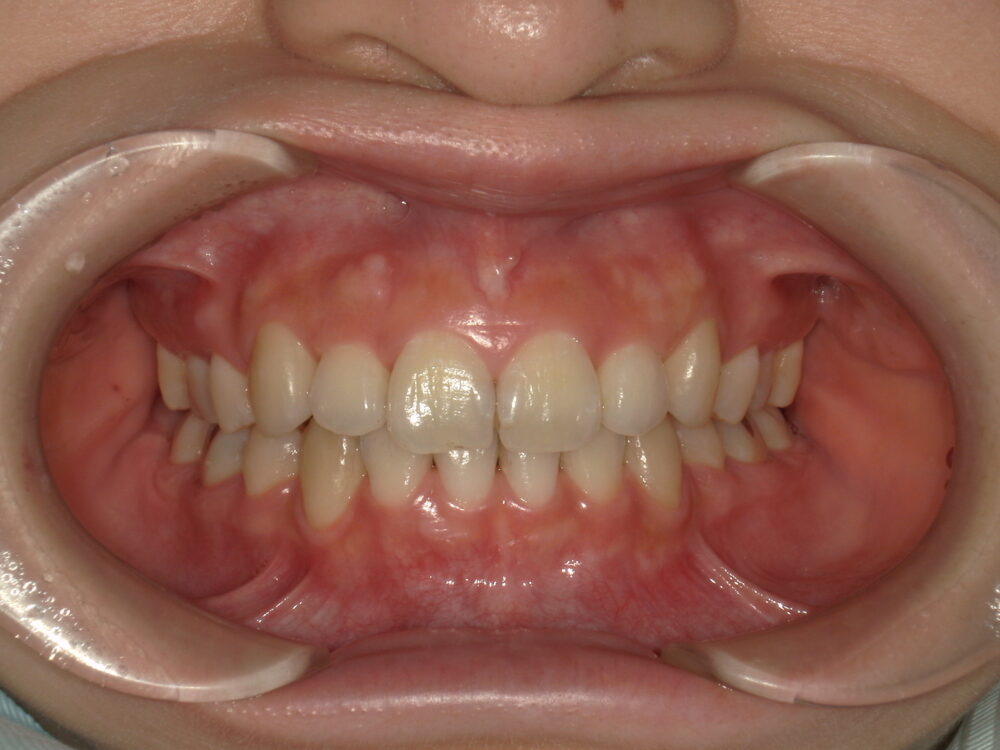
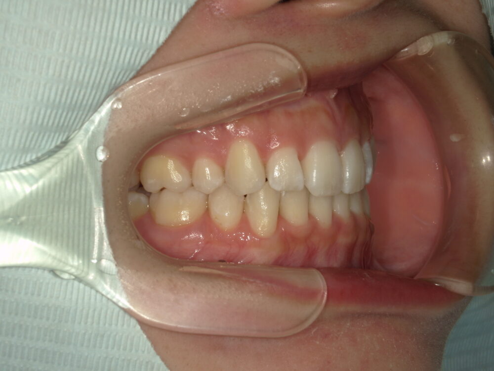
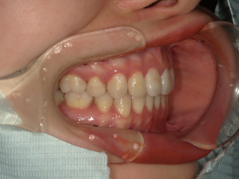
症例紹介
裏側矯正(舌側矯正)
裏側矯正12
裏側矯正(舌側矯正)
裏側矯正11
裏側矯正(舌側矯正)
一般矯正(唇側矯正)
ハーフリンガル6
裏側矯正(舌側矯正)
一般矯正(唇側矯正)
ハーフリンガル5
裏側矯正(舌側矯正)
一般矯正(唇側矯正)
ハーフリンガル4
加速矯正
加速矯正2
加速矯正
加速矯正1
アンカースクリュー矯正
アンカースクリュー矯正2
アンカースクリュー矯正
アンカースクリュー矯正1
フェイシャルプランニング
フェイシャルプランニング2
1
2
3
>
LINE
相談
資料請求