裏側矯正11
治療概要
- 治療期間
- 1年8か月
- 治療費
- 1,375,000円(税込)
- 性別
- 女性
- 年齢
- 20代
ご相談内容・お悩み
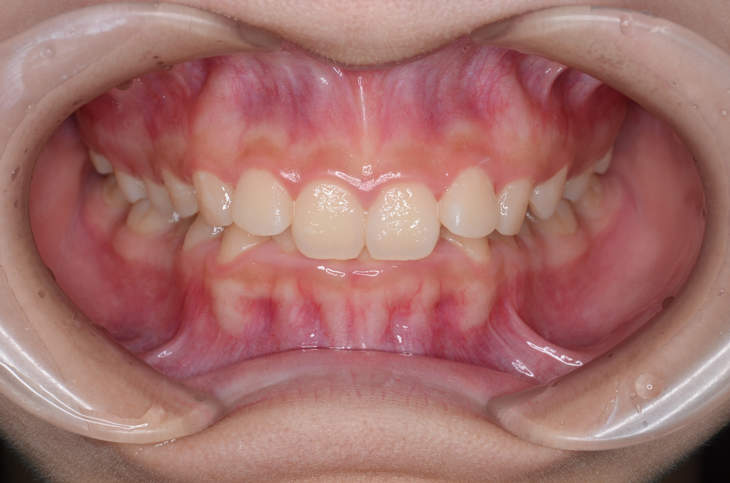
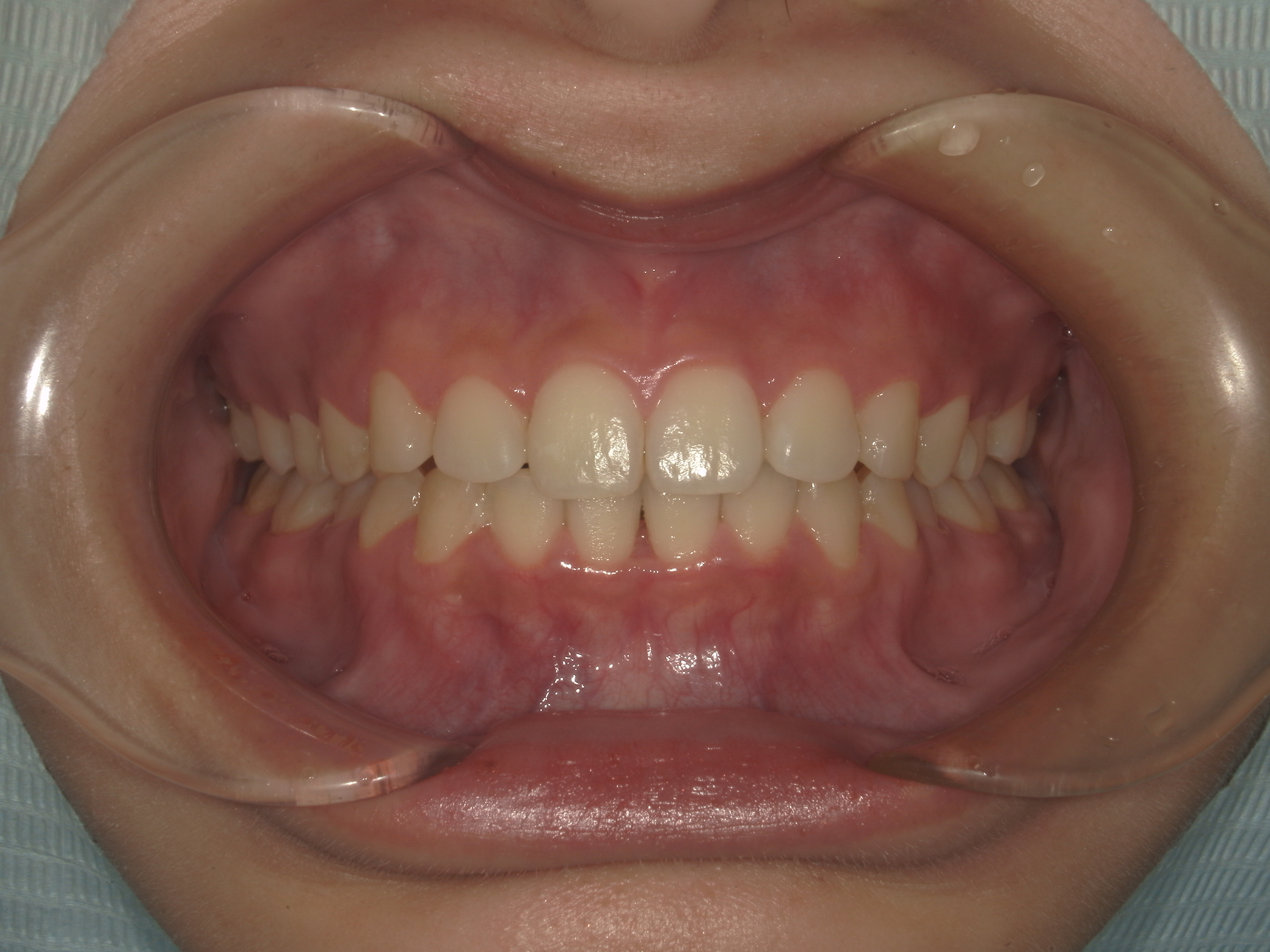
歯並びのガタガタ
かみ合わせが深い
治療内容
上下顎に叢生(歯並びのガタガタ) と過蓋咬合を認める。
Ⅱ級2類不正咬合は下顎が小さく顔貌のバランスが良いため、抜歯を選択する場合は叢生量から検討する。本症例は非抜歯による舌側矯正治療を選択した。
本来過蓋咬合は舌側矯正には不向きだが、当院のオリジナルブラケットであるFLBシステムにより良好な結果が得られた。







