ハーフリンガル4
治療概要
- 治療期間
- 2年
- 治療費
- 1,200,000円(税込)
- 性別
- 女性
- 年齢
- 20代
ご相談内容・お悩み
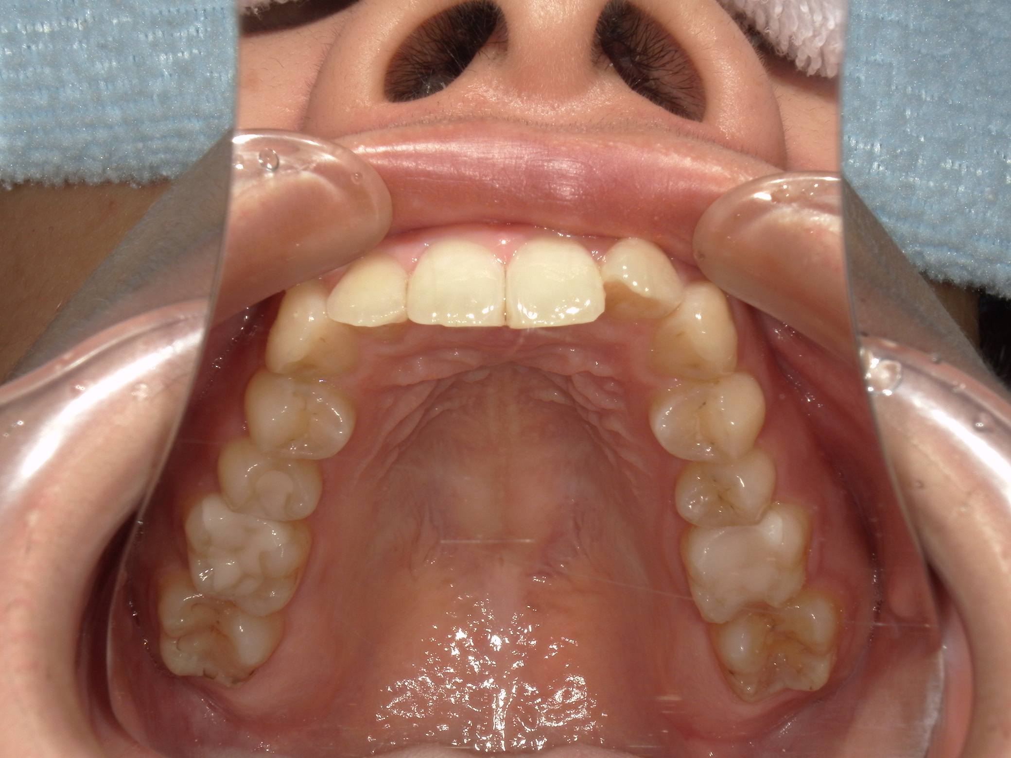
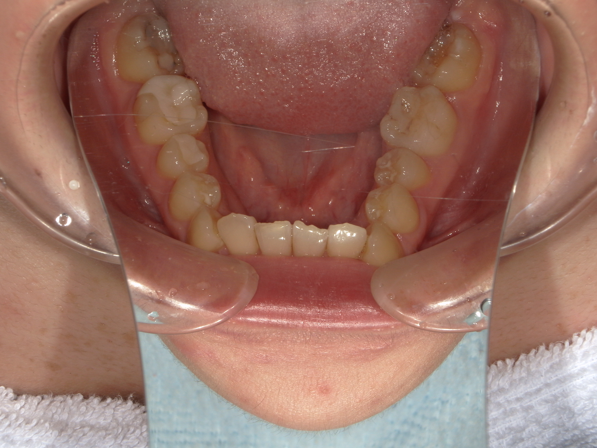
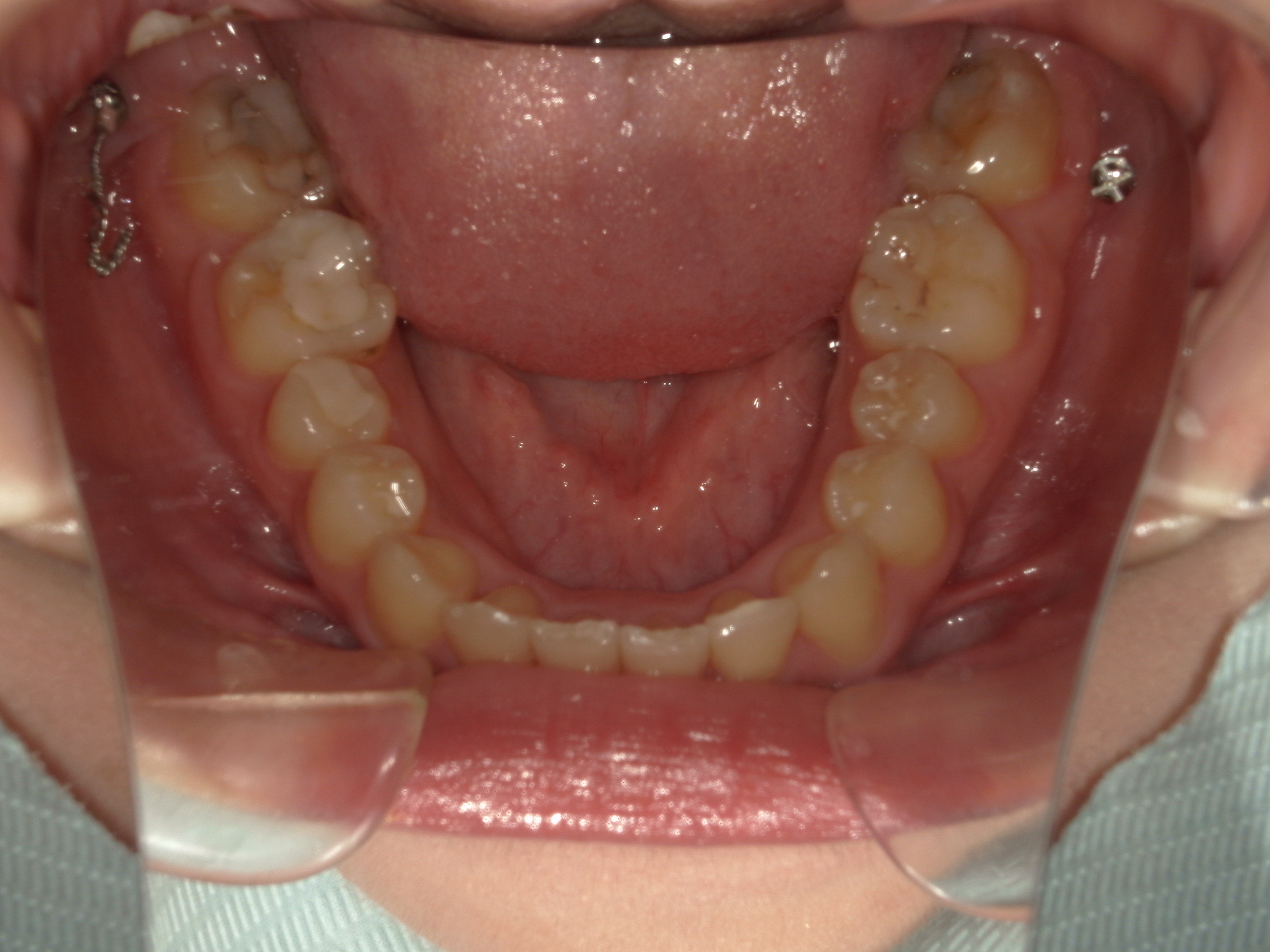
叢生(歯のがたつき)
過蓋咬合(かみ合わせが深い)
口元の突出感
治療内容
全体的な叢生、口元の突出は顕著ではないが、本人希望は突出感の改善であった。
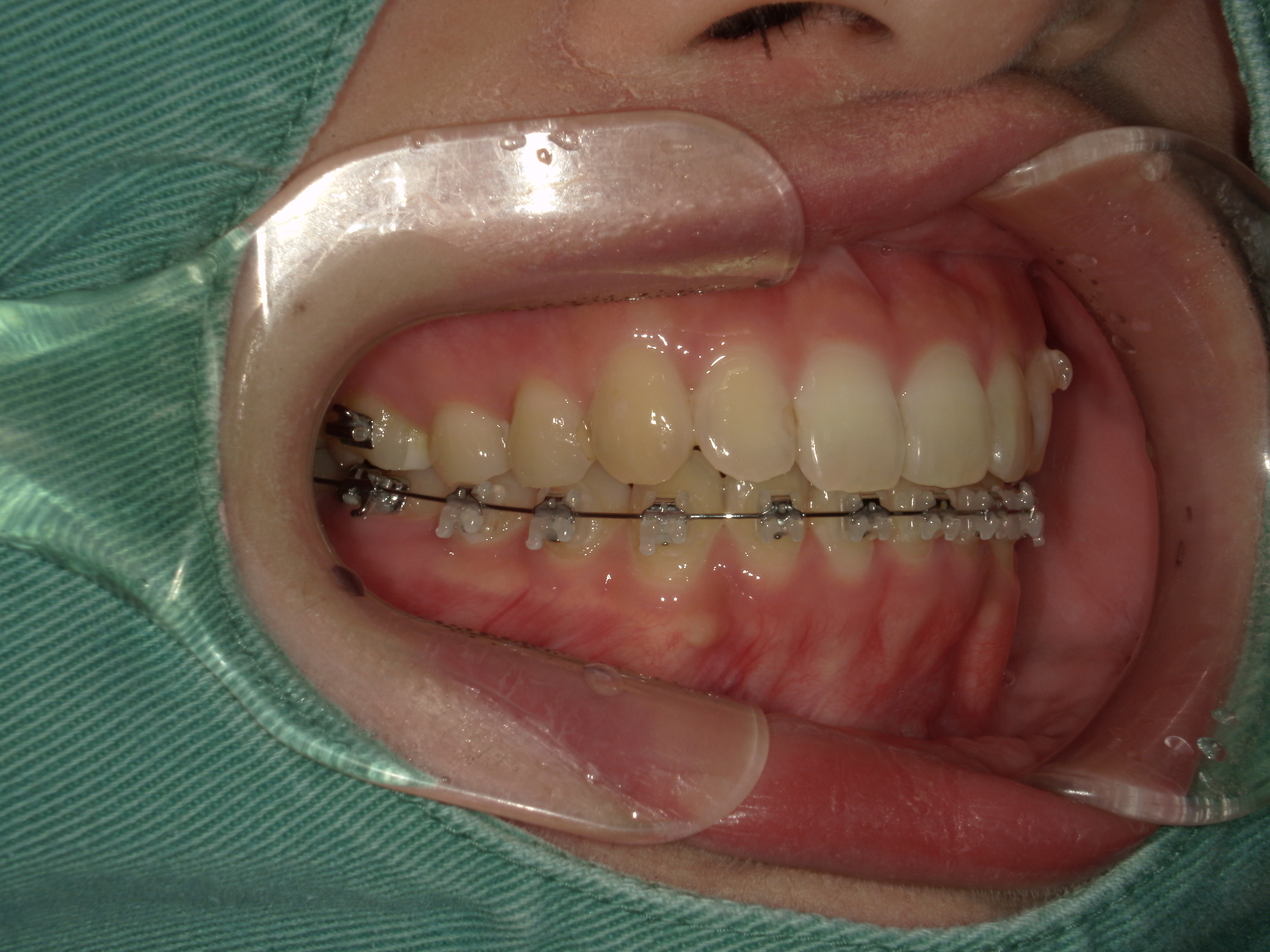
突出感の改善は抜歯を必要とする状態ではないためアンカースクリューを併用して歯列全体の後方移動を計画。
患者は混合矯正を希望した。
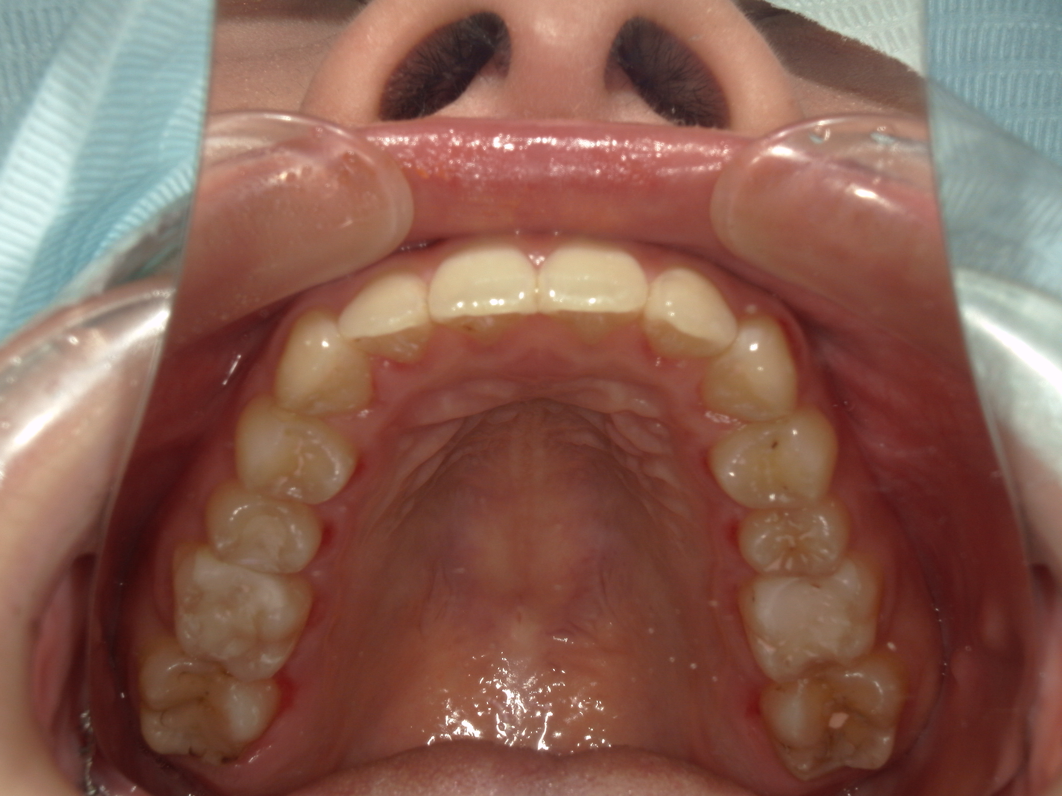
治療後上下顎の叢生は改善し、上下顎前歯の正中の一致、口元の突出感の改善、良好なかみ合わせを獲得することができた。









