裏側矯正12
治療概要
- 治療期間
- 2年4か月
- 治療費
- 1,375,000円(税込)
- 性別
- 女性
- 年齢
- 20代
ご相談内容・お悩み
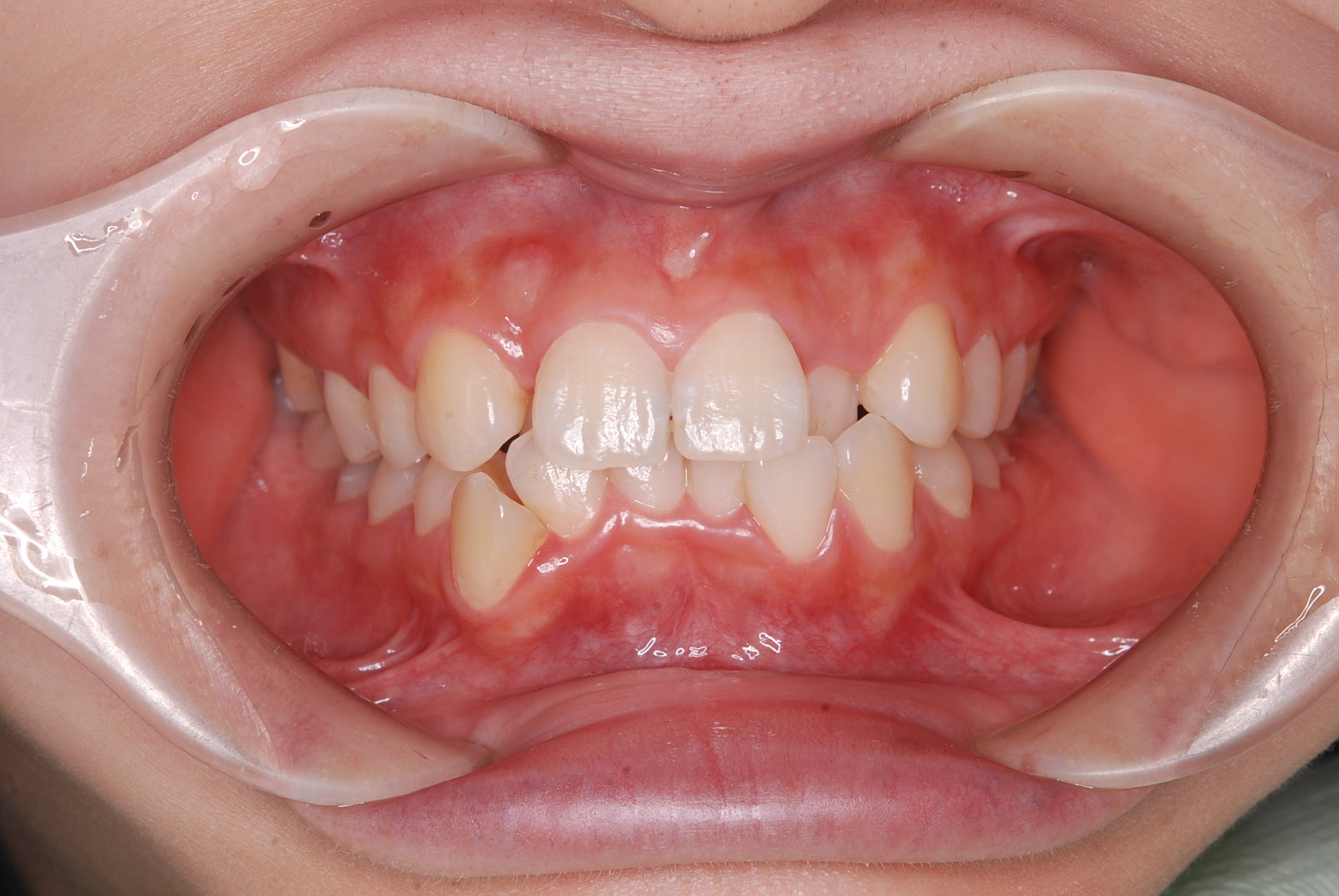
歯並びのガタガタ
治療内容
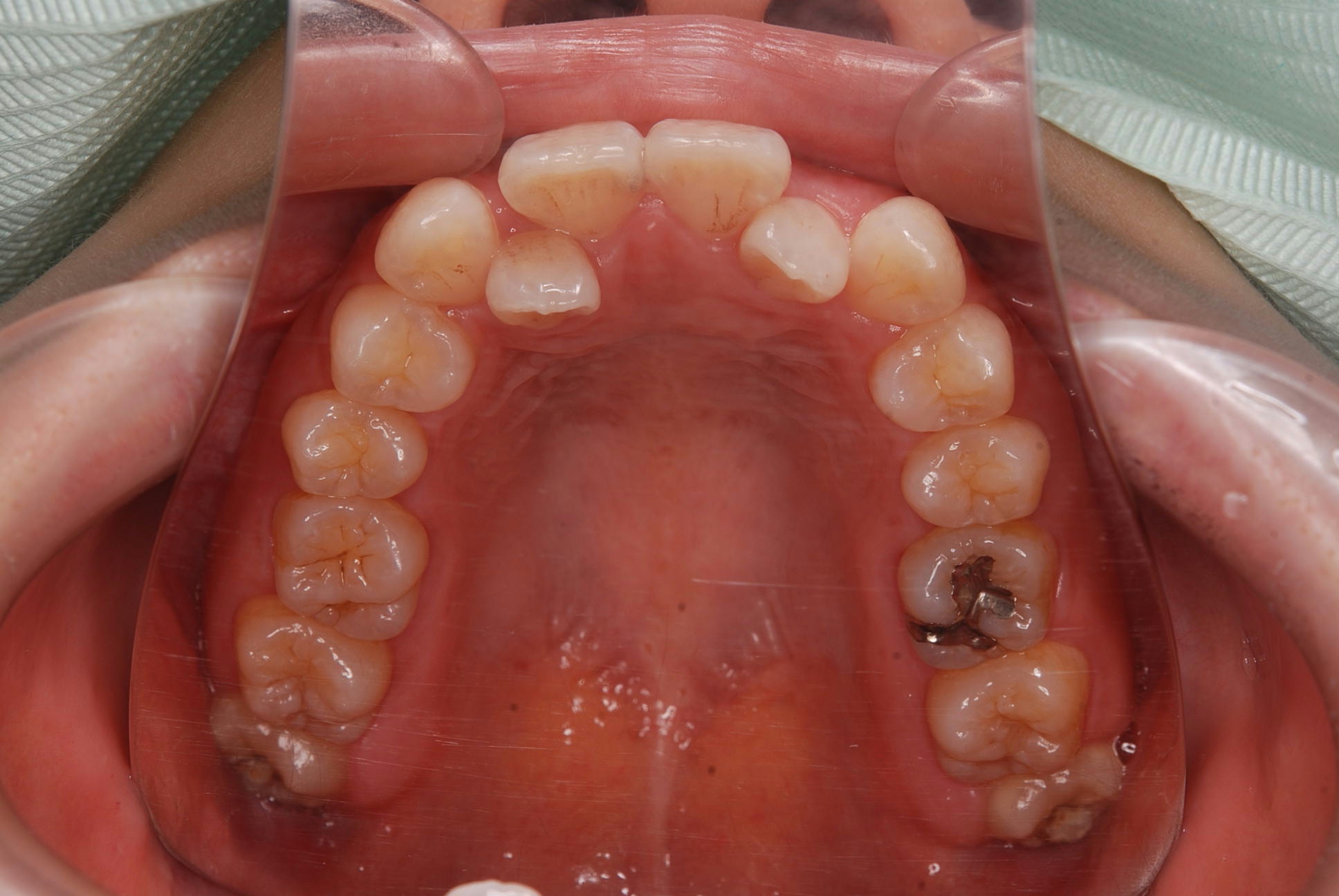
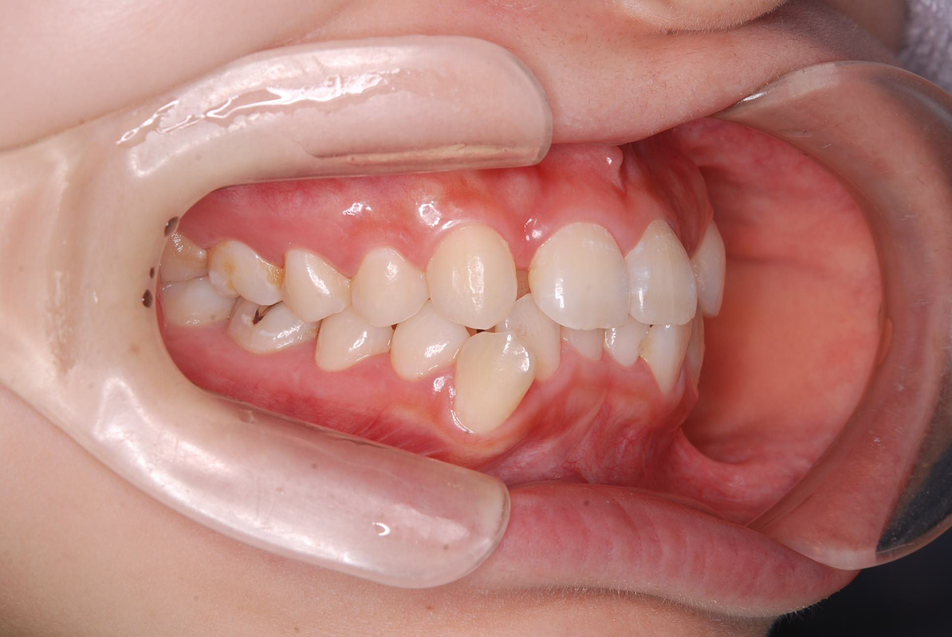
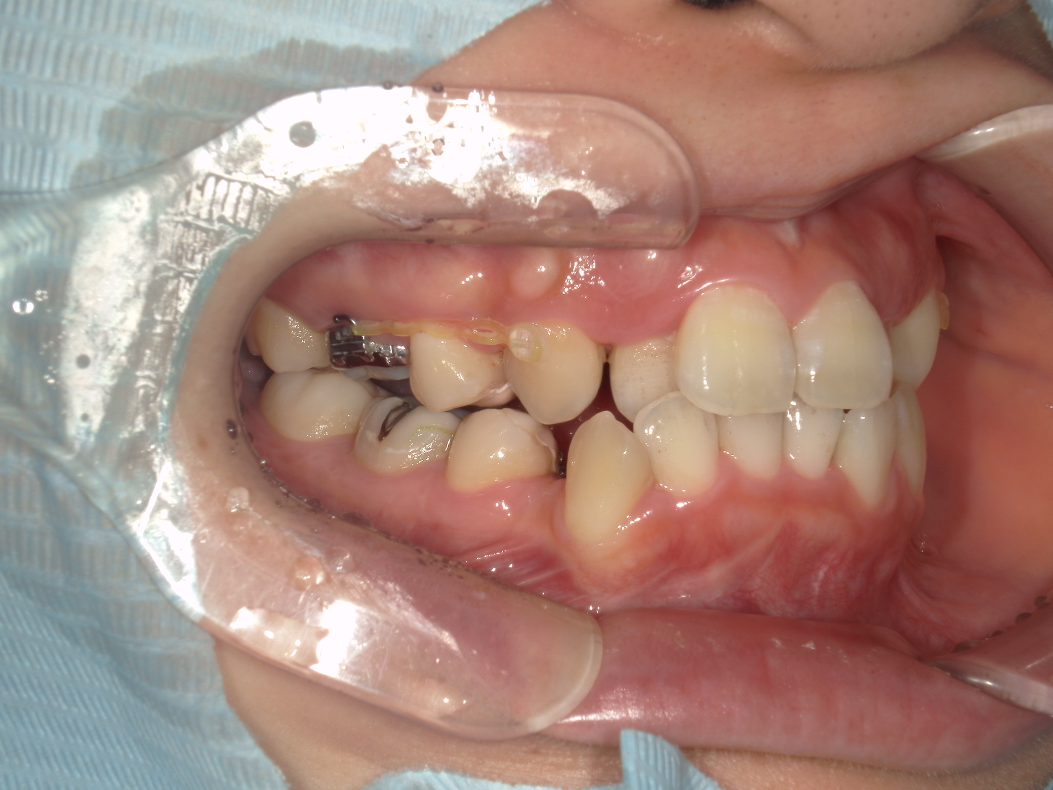
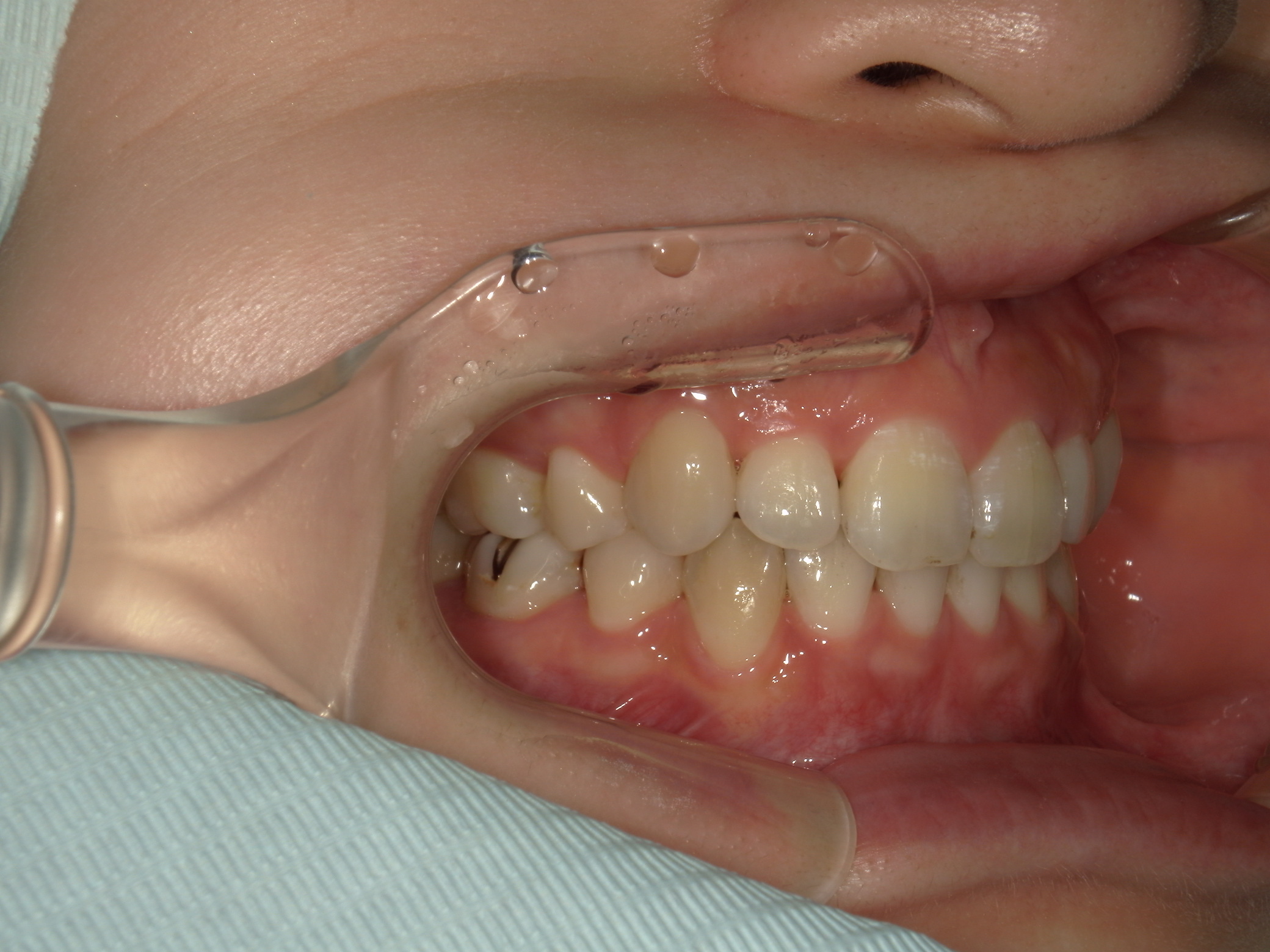
上下顎に叢生(歯並びのガタガタ) と部分的な反対咬合を認める。
前歯の反対咬合は顎位の変化を示す兆候であるため、矯正治療と並行して顎関節症に対するケアが必要。
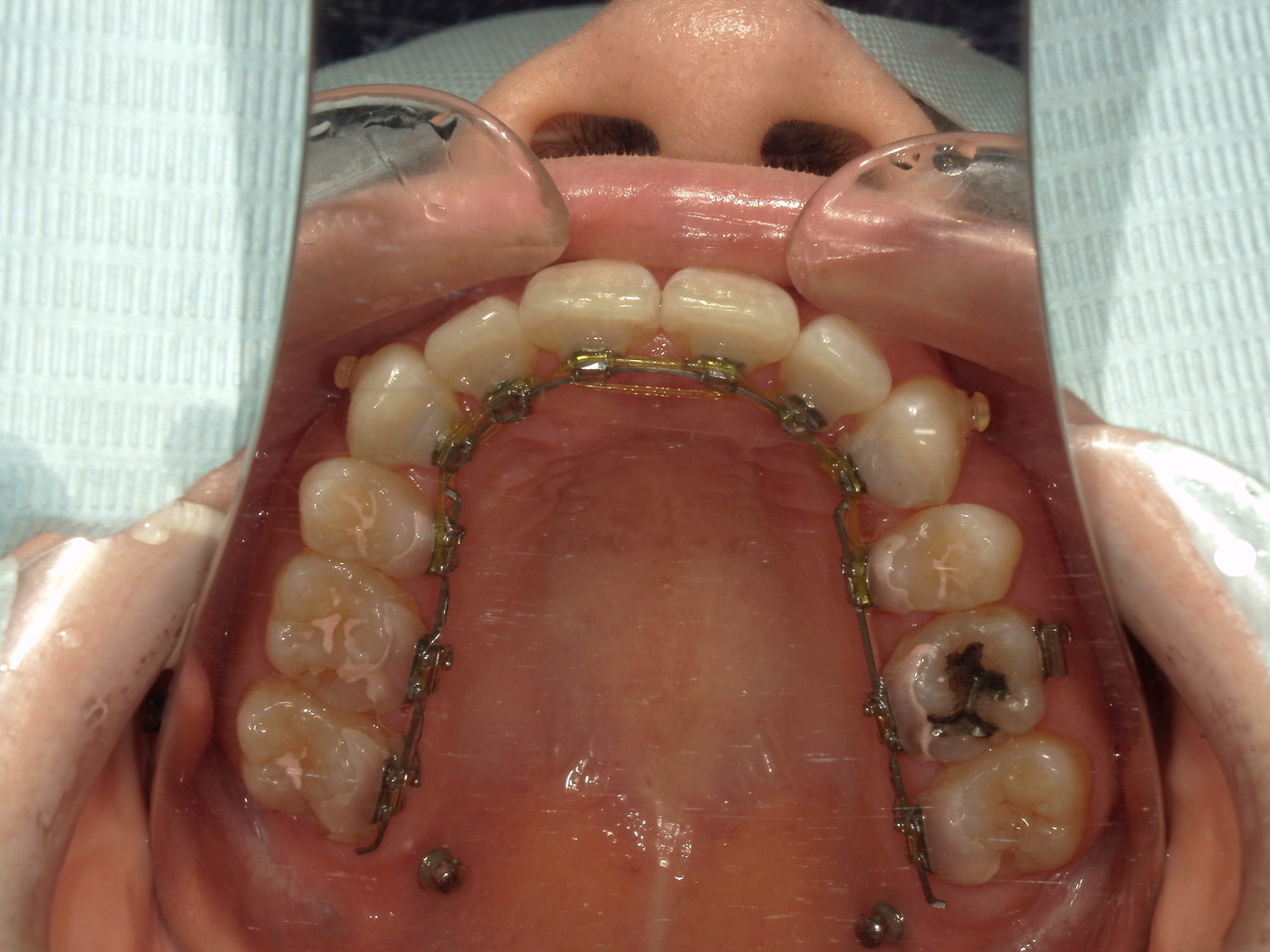
本症例は上下小臼歯抜歯により叢生解消のスペースを獲得し、下顎位の後退があることからダイレクトスプリント治療を併用して顎位の安定を求めた。
矯正用アンカースクリューは固定源の強化のために必要とした。







