症例紹介

Case Studies

ハーフリンガル6

裏側矯正(舌側矯正)一般矯正(唇側矯正)
Before
After

治療概要

治療期間
2年3か月
治療費
1,200,000円(税込)
性別
女性
年齢
20代

ご相談内容・お悩み

口元の突出感

治療内容

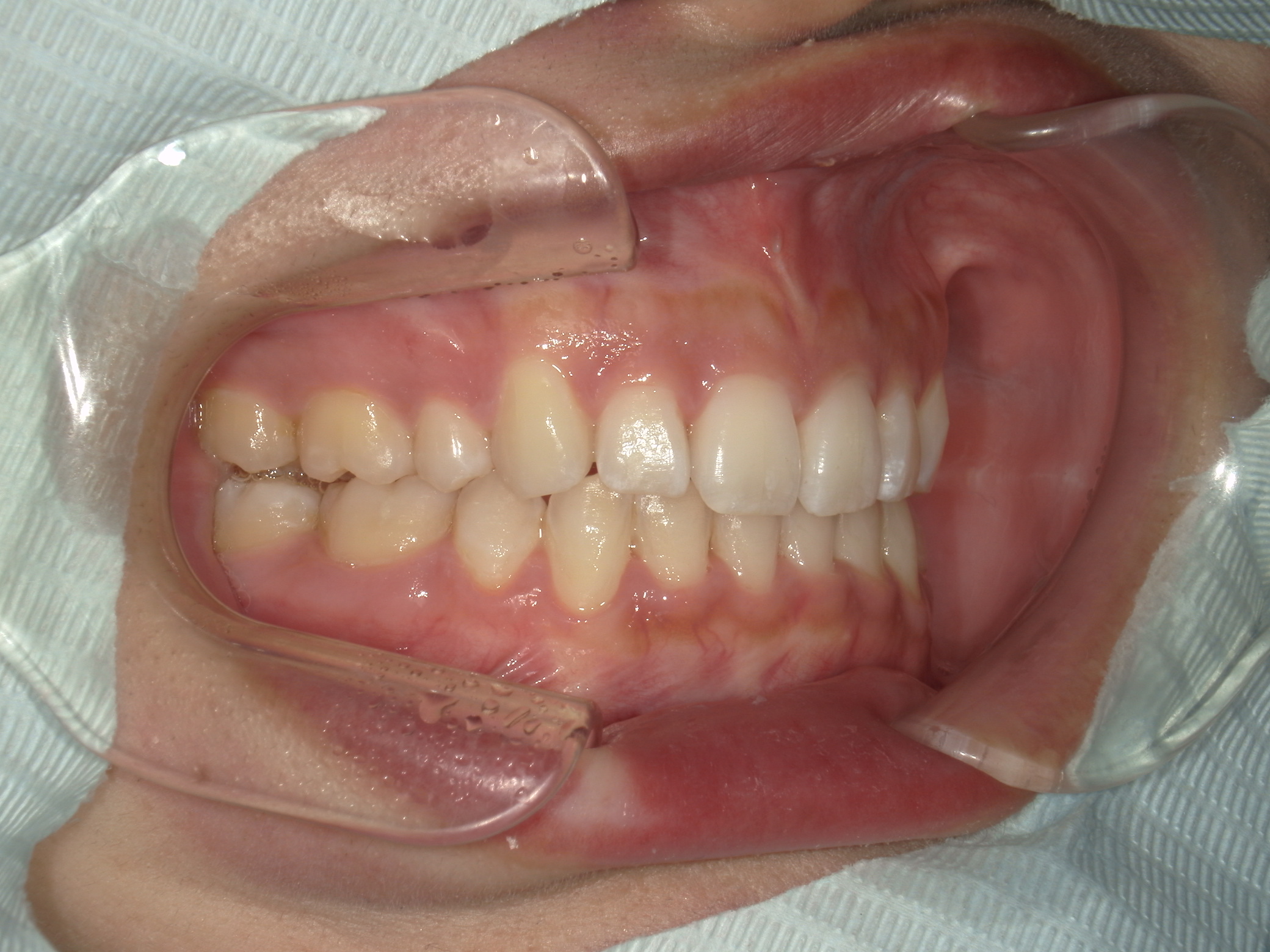
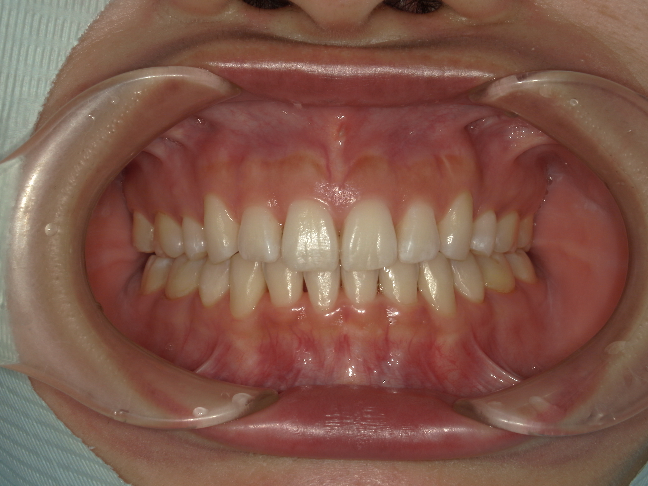
口元の突出を主訴に来院。
上下小臼歯抜歯により突出感を改善する計画を立てた。確立した咬合を崩さないように治療を進める事を目標とした。
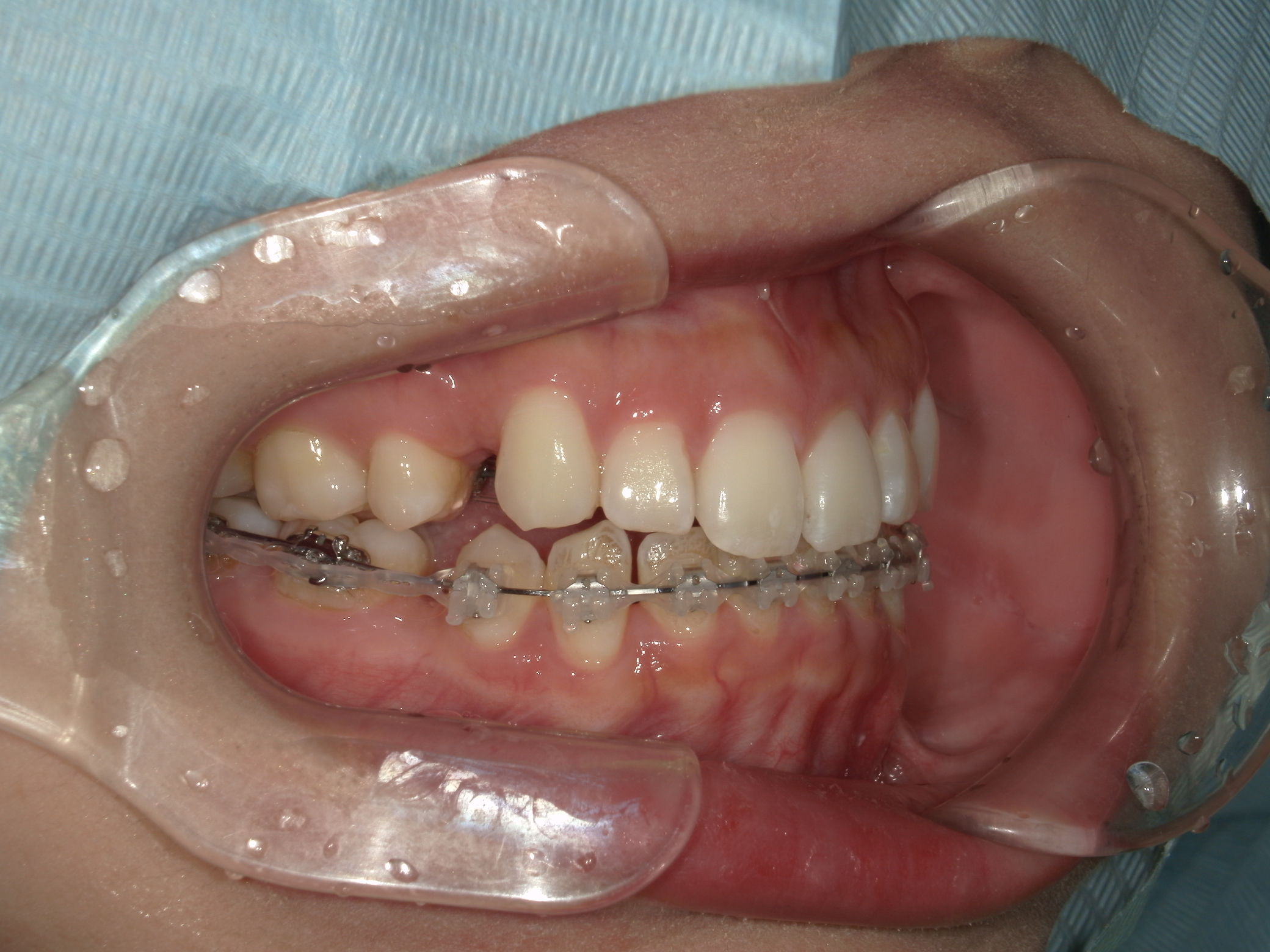
患者はハーフリンガル矯正を希望した。
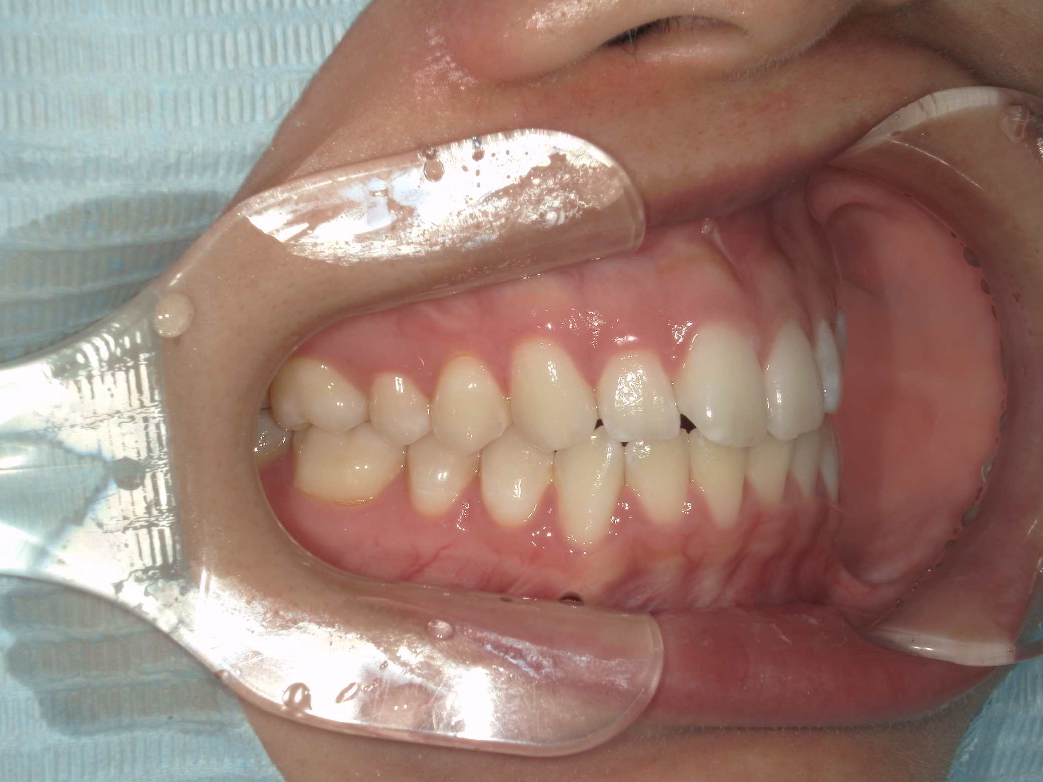
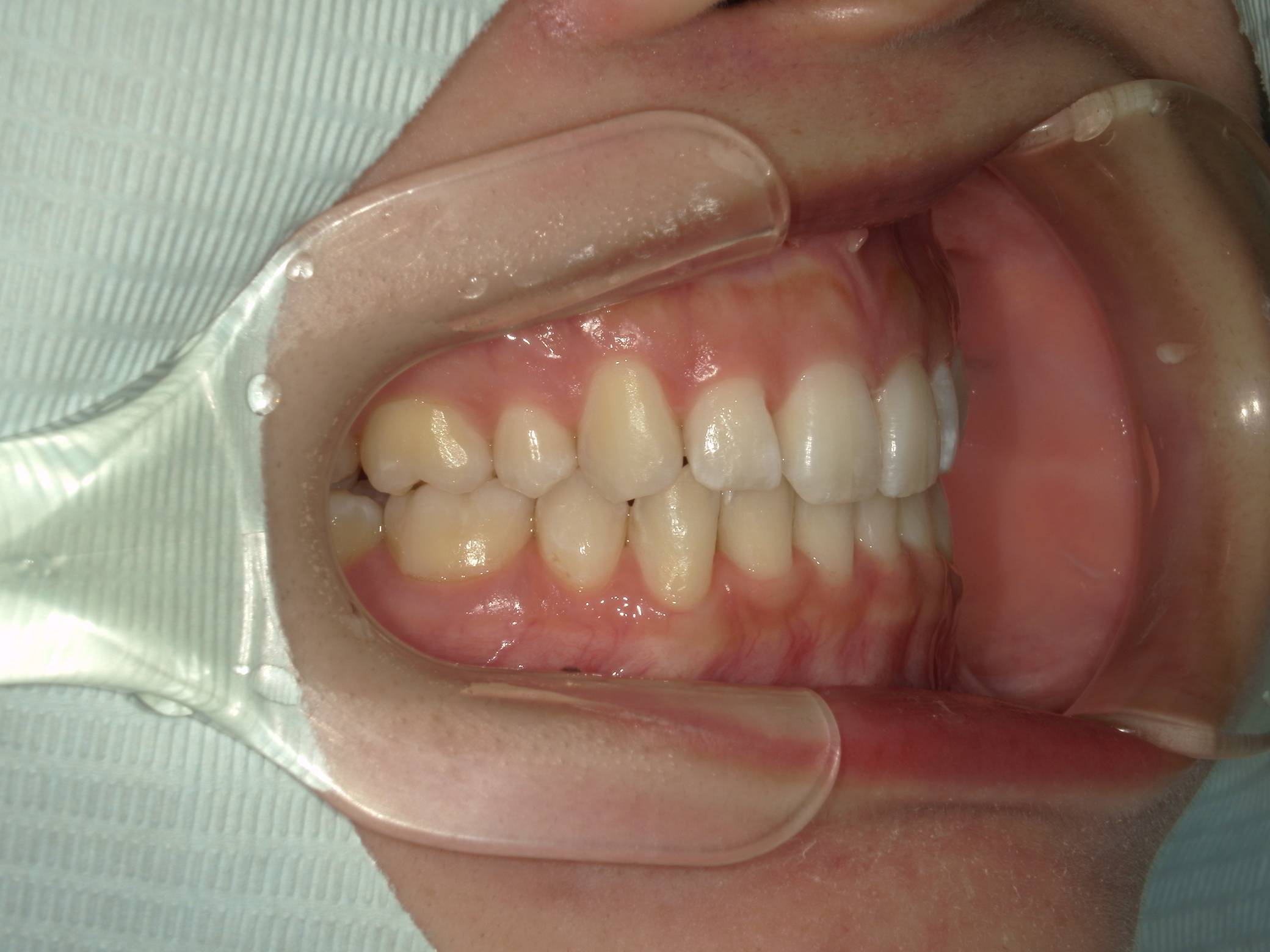
治療後、口元の突出感の改善、咬合関係は維持することができた。

保定はクリアリテーナーにより行われ、患者の良好な使用状況によって歯列および咬合の安定が成された。

初診時側貌
保定1年後側貌
初診時右側
動的治療終了時右側
初診時正面
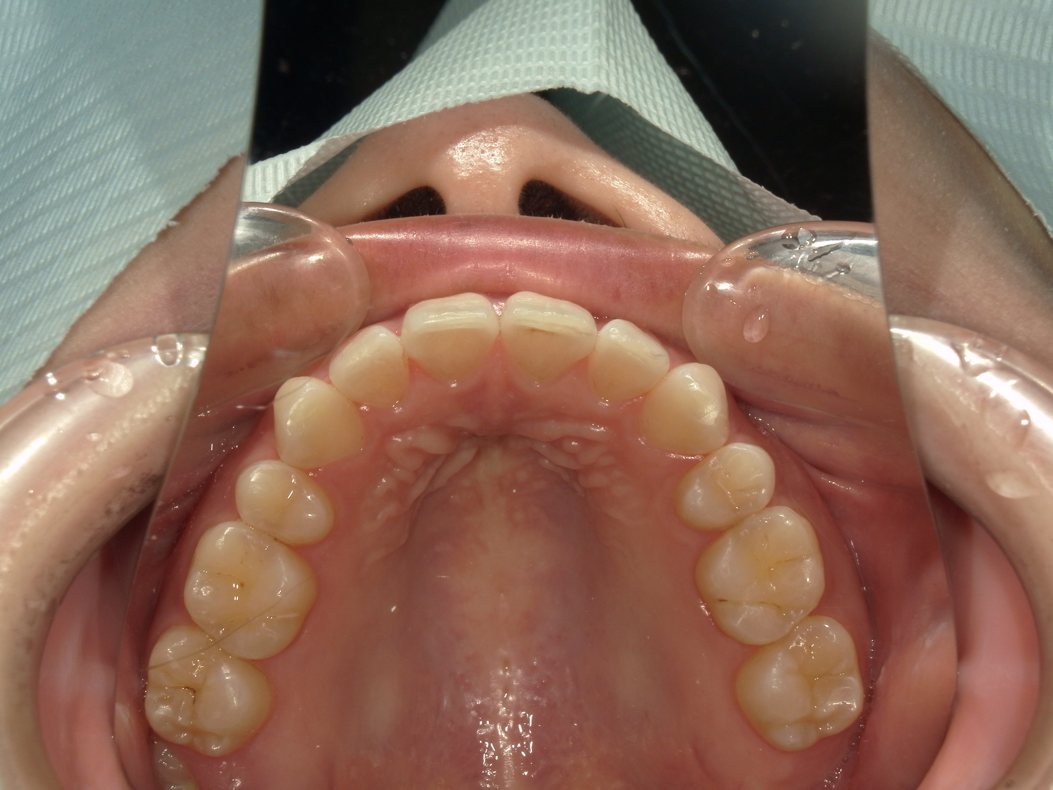
動的治療中上顎咬合面
動的治療中右側
保定1年後右側
保定1年後正面
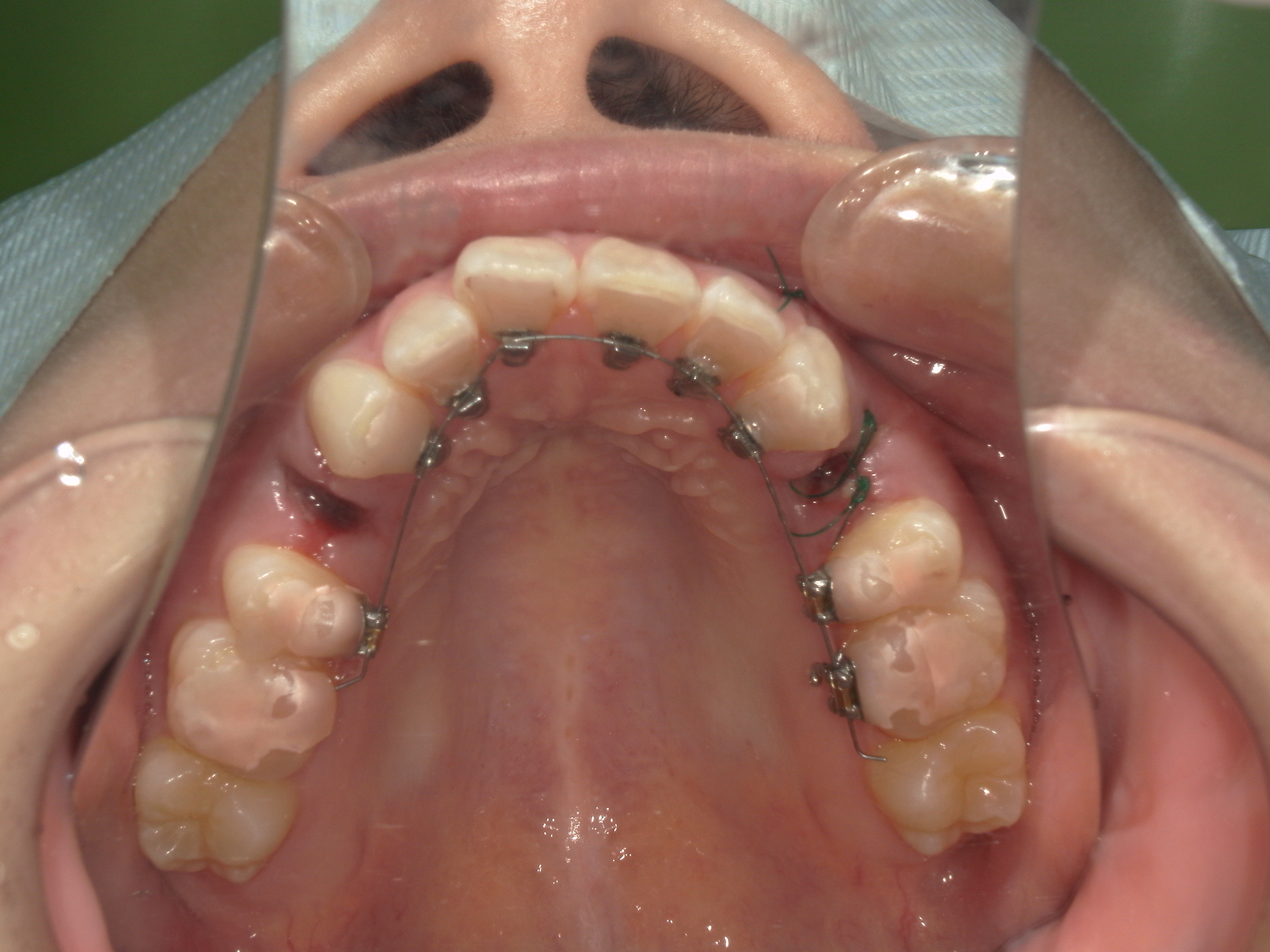
保定1年後上顎咬合面

関連記事

Other topics